Accessibility links
Skip to main content
Skip to main Navigation
Skip to Search
About Learning English
Beginning Level
Intermediate Level
Advanced Level
US History
Video
Follow Us
Languages
Search
Search
Previous
Next
Breaking News
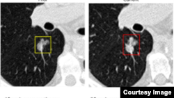
Quiz - Researchers Say AI System Greatly Improves Lung Cancer Predictions
May 24, 2019
Question 1 / 4
What is computed tomography (CT) used for?
To test tissue samples for possible cancer
To create images of things in the body
To produce a model of tissues on the body's surface
To develop an algorithm to find cancer and diabetes
Submit Answer
Next Question
Quiz - Researchers Say AI System Greatly Improves Lung Cancer Predictions
XS
SM
MD
LG