Accessibility links
Skip to main content
Skip to main Navigation
Skip to Search
About Learning English
Beginning Level
Intermediate Level
Advanced Level
US History
Video
Follow Us
Languages
Search
Search
Previous
Next
Breaking News
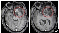
Quiz - Unusual Treatment Shows Promise for Kids With Brain Tumors
April 15, 2021
Test your understanding of this story by taking this short quiz.
Start the Quiz to find out
Start Quiz
Quiz - Unusual Treatment Shows Promise for Kids With Brain Tumors
XS
SM
MD
LG