Accessibility links

Breaking News

Unusual Treatment Shows Promise for Kids With Brain Tumors


This 2016 photo provided by the family shows Jake Kestler, center, with his parents, Gallite and Josh, and his sister, Lily. This is one month before he was diagnosed with brain cancer. (Family Photo via AP)
This 2016 photo provided by the family shows Jake Kestler, center, with his parents, Gallite and Josh, and his sister, Lily. This is one month before he was diagnosed with brain cancer. (Family Photo via AP)
Unusual Treatment Shows Promise for Kids With Brain Tumors
please wait

No media source currently available

0:00 0:06:54 0:00


From VOA Learning English, this is the Health & Lifestyle report.

For many years, a deadly type of childhood cancer has escaped science’s best treatments. But now doctors have made progress with an unusual treatment. They inject a virus into the brain to infect the tumors. This causes the body’s immune system to attack.

Many children treated this way lived more than twice as long as patients that did not have the treatment. Doctors reported this news Saturday at an American Association for Cancer Research conference and in the New England Journal of Medicine. The Associated Press reported on the findings.

Although in the end, most of the children died of their disease, a few are alive and are doing well over a year after treatment. This is something unheard of in this situation.

“This is the first step, a critical step,” said the leader of the study, Dr. Gregory Friedman. He is a childhood cancer specialist at the University of Alabama at Birmingham.

In this Aug. 5, 2019 photo, Dr. Gregory Friedman, a childhood cancer specialist, looks through a microscope at a laboratory in Birmingham, Alabama. (AP photo via University of Alabama)
In this Aug. 5, 2019 photo, Dr. Gregory Friedman, a childhood cancer specialist, looks through a microscope at a laboratory in Birmingham, Alabama. (AP photo via University of Alabama)

Friedman added that their goal “is to improve on this” latest finding. He said that first, they will use this new treatment as soon as the tumor is found. They also plan to combine this treatment with other treatments, he said, to increase the effectiveness of the body’s immune system.

The patients in the study were given the experimental treatment after other treatments failed to help their illnesses.

The study involved gliomas. They make up 8 percent to 10 percent of childhood brain tumors. These tumors are usually treated with operations, chemotherapy, or radiation.

However, they often come back. Once they return, survival averages just under six months. In such cases, the immune system has lost the ability to find and attack the cancer. So, scientists have been looking for ways to make the tumor a fresh target.

To do this, they turned to the herpes virus. It creates a strong immune system response. A company based in Philadelphia, Pennsylvania, called Treovir, developed the treatment. Researchers there genetically changed, or modified, the virus so it would infect only cancer cells.

Doctors gave the modified virus to 12 patients ages 7 to 18. In all of them their cancer had worsened after usual treatments. Half also received one treatment of radiation. Radiation is thought to help the herpes virus spread.

In 11 of the 12 patients, imaging tests or tissue samples showed that the treatment was working.

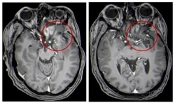
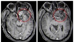
This combination of MRI images provided by the University of Alabama in April 2021 shows scans of a child with a brain tumor, before and after the treatment.
This combination of MRI images provided by the University of Alabama in April 2021 shows scans of a child with a brain tumor, before and after the treatment.

Average survival was just over a year. That is more than two times longer than in the past. As of last June, four of the patients were still alive at least 18 months after treatment.

Tests also showed high levels of specialized immune system cells in their tumors. This suggests that the treatment had created help needed from the body to attack the disease. No serious safety issues were seen.

Jake Kestler had the treatment when he was 12.

“It went very well. He lived for a year and four months after that,” said his father, Josh Kestler. This gave his son enough time to celebrate his bar mitzvah, go with his family to Hawaii, and see a brother be born.

Jake died April 11, 2019. But his father told the AP that they “have no regrets whatsoever” about trying the treatment. He and his wife have started a foundation, Trail Blazers for Kids, to continue this research.

“It’s a devastating disease for these patients and their families,” said Dr. Antoni Ribas. He is a cancer specialist at the University of California, Los Angeles, and president of the group holding the conference. He added that early results suggest the virus treatment is helping. However, the findings need to be confirmed in a larger study. Doctors are now planning such a study.

Friedman said studies are continuing in adults as well. He added that there are plans to try this treatment on other types of childhood brain tumors.

U.S. government grants and several foundations paid for the study, and several doctors have financial ties to the company Treovir.

Only one similar virus therapy is currently approved in the United States. It is called Imlygic and is also a modified herpes virus. It is used for treating melanoma, the most serious type of skin cancer.

And that’s the Health & Lifestyle report.

I’m Anna Matteo.

Marilynn Marchione reported this story for the Associated Press. Anna Matteo adapted it for VOA Learning English. Susan Shand was the editor.

Quiz - Unusual Treatment Shows Promise for Kids With Brain Tumors

Quiz - Unusual Treatment Shows Promise for Kids With Brain Tumors

Start the Quiz to find out


________________________________________________________

Words in This Story

tumor – n. a mass of tissue found in or on the body that is made up of abnormal cells

immune system – n. the system that protects your body from diseases and infections​

patient – n. a person who receives medical care or treatment

critical – adj. extremely important

chemotherapy – n. medical : the use of chemicals to treat or control a disease (such as cancer)

radiation – n. medical : the use of controlled amounts of radiation for the treatment of diseases (such as cancer)

herpes – n. a disease caused by a virus that causes painful spots on the skin

foundation – n. an organization that is created and supported with money that people give in order to do something that helps society

devastating – adj. causing extreme emotional pain

therapy – n. the treatment of physical or mental illnesses

XS
SM
MD
LG